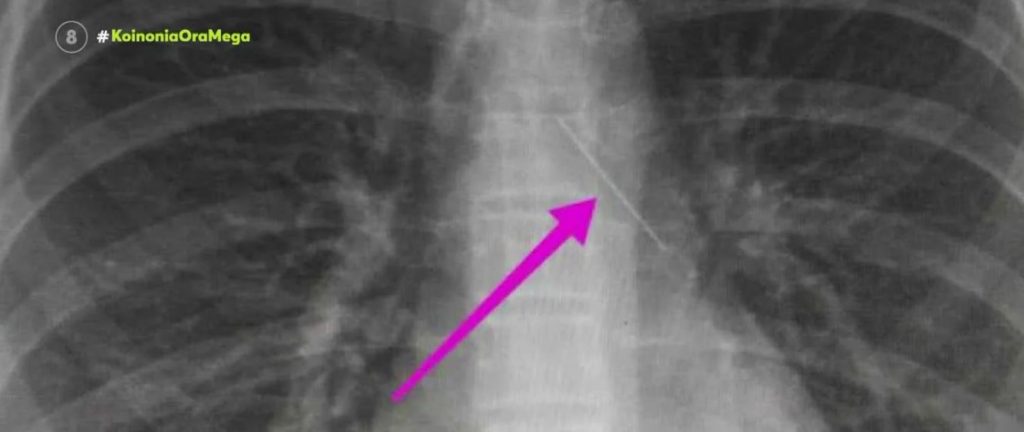
View more ΑΝΗΛΙΚΗ Θεσσαλονίκη: Ανήλικη κατάπιε καρφίτσα – Μάχη των γιατρών για να την βγάλουν από τα πνευμόνια της
View more ΑΝΗΛΙΚΗ Προφυλακίστηκε ο ιερέας που κατηγορείται για βιασμό ανήλικης – Συμπληρωματική δίωξη και για τη σχέση του με ανήλικη babysitter
View more ΑΝΗΛΙΚΗ Συγκλονίζει η κατάθεση της 17χρονης για τον ιερέα που την βίαζε: «Έκλαιγα κάθε μέρα από τον φόβο μου»
View more ΑΝΗΛΙΚΗ Βιασμός ανήλικης: «Μόδα» οι καταγγελίες βιασμών κατά τον δικηγόρο του ιερέα – Τι ισχυρίζεται η σύζυγος του 37χρονου
View more ΑΝΗΛΙΚΗ Βιασμός 24χρονης: «Εμπιστεύτηκε λάθος ανθρώπους», λέει φίλη της – Τι ανέφερε ο Γ. Καλλιακμάνης για την υπόθεση & τι αποκάλυψε για την περίπτωση του ιερέα
View more ΑΝΗΛΙΚΗ Σοκ στα Κάτω Πατήσια: Συνελήφθη ιερέας για βιασμό ανήλικης & πορνογραφία ανηλίκων – Με τα χέρια στις τσέπες οδηγήθηκε στα δικαστήρια
View more ΑΝΗΛΙΚΗ MeToo – Ξεκινά η πρώτη δίκη για βιασμό ανήλικης αθλήτριας – Μάρτυρας η Ολυμπιονίκης Σοφία Μπεκατώρου
View more ΑΝΗΛΙΚΗ Αττική – Νεαρή είπε ότι αποπειράθηκαν να την κακοποιήσουν για να αποφύγει το σχολείο
View more ΑΝΗΛΙΚΗ Ασπρόπυργος – Ανήλικη παρασύρθηκε από αυτοκίνητο & σκοτώθηκε – Δεν την έχει αναζητήσει κανείς
View more ΑΝΗΛΙΚΗ Καλλιθέα – 50χρονος παρενόχλησε σεξουαλικά 17χρονη σε λεωφορείο – Συνελήφθη με τη βοήθεια επιβατών
View more ΑΝΗΛΙΚΗ 11χρονη κακοποιήθηκε σεξουαλικά από καθηγητή φροντιστηρίου – Συγκλονίζει ο πατέρας της
View more ΑΝΗΛΙΚΗ Κολωνάκι – Καρέ καρέ οι αγωνιώδεις προσπάθειες να μεταφερθεί στο νοσοκομείο η 13χρονη
View more ΑΝΗΛΙΚΗ Τρίκαλα – Ελεύθερος με περιοριστικούς ορούς ο αστυνομικός για την υπόθεση ασέλγειας σε 4χρονη
View more ΑΝΗΛΙΚΗ Τρίκαλα – Ερωτικό βίντεο 15χρονης έφτασε στα χέρια της μητέρας της – Η διαπόμπευση & οι καταγγελίες
View more ΑΝΗΛΙΚΗ Τρίκαλα – «Στηρίζω το παιδί μου, πιστεύω στη Δικαιοσύνη» – Τα πρώτα λόγια της συζύγου του κατηγορούμενου αστυνομικού για ασέλγεια
View more ΑΝΗΛΙΚΗ Τρίκαλα – Απολογείται την Πέμπτη ο αστυνομικός που κατηγορείται για ασέλγεια στην 4χρονη κόρη του
View more ΑΝΗΛΙΚΗ Θεσσαλονίκη – Σε κρίσιμη κατάσταση η ποδηλάτισσα που παρασύρθηκε από φορτηγό στο κέντρο της πόλης